6-timers Endurance løb:
1 september 2019 på Anderstorp, Sverige.



Så sku vi til årets 6'e og sidste løb i Svenska Endurace Cupen, SEC. Løbet går over 6 timer på Anderstorp, den gamle F1-bane midt i Småland skovene mellem Malmö og Jönköping i Sverige.

Den her gang sku teamet have lidt andre problemer. Mine faste kører Björn og Lars kunne ikke deltage fordi det var den samme weekend som Classic RR sku afvikle deres finaler, hvor de sku forsvare SM og NM titler. Vores endurance 6-timers løb er ikke deres hoveddisciplin.

Derfor sku jeg finde et par andre fornuftige kørere med erfaring og som ikke blev forivrrede og krasher motorcyklen hver 5'e minut. Det lykkedes ret godt med at finde fornuftige kørere, Erik Olandersson og Peter Gudmundsson der begge to har flere års erfaring fra bl.a. Superbike og fra forskellige Endurance-løb.

Dvs det såg fint ud til at vi kunne forsvare teamets 3'e plads i serien hvor vi var foran team #45 Hojride. Men vi var kun 2 points foran i serietabellen så vi hade ikke råd at komme bagved dem i det stidste løb på Anderstorp. De er gode kører, har meget erfaring fra Endurance-løb, og hade til år skaffet en større tank med speciel hurtig-optankning-system til sin motorcykel. Dvs, de kunne lave færre tank-stop og fylde tanken hurtigere. Så det er ikke nemt at komme foran dem i hvert løb.

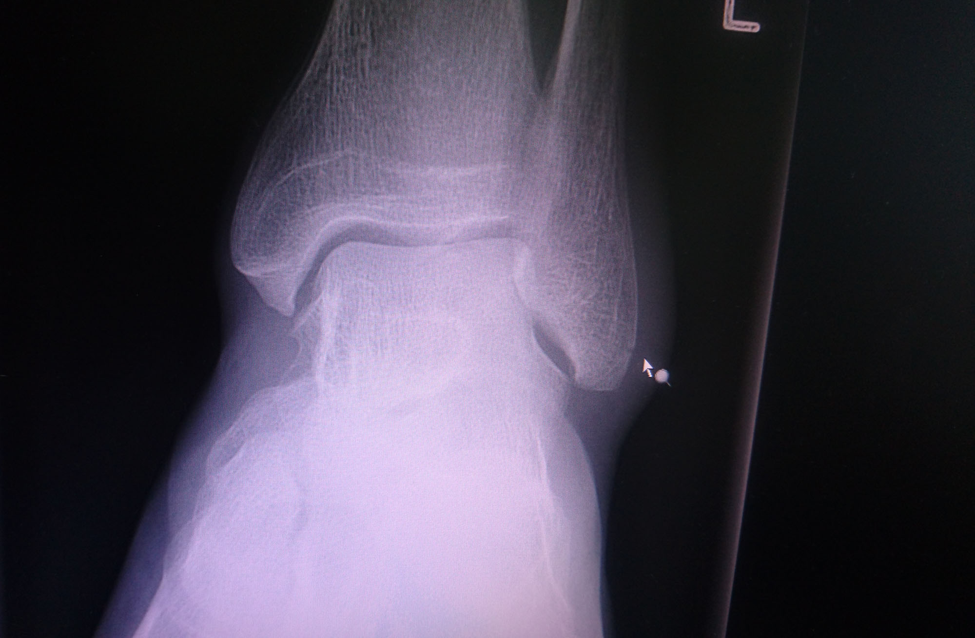
Jeg hade været i garagen og monteret nye dæk på fælge, skiftet olje og filter på motorcyklen og lavet andre småjusteringer. Alt så ok ud i venten på løbet, men det sku ikke være så simpelt mente jeg alligevel, fordi jeg besluttede at vælte med min gadecykel på parkeringen og brække noget i min venstre ankel. Røntgen på Gentofte Hospital viser at det er enden på fibula-knoglen der er brækket. Fuck!

Det er den der knogle der stikker ud ved ankeln. Det heldige er at det ikke er Tibia-knoglen der støtter hele vægten når man står på foden. Så jeg kan stå på foden, men jeg kan ikke vride eller vippe med foden udan at det gører ont som ind i helvede. Alle muskler og sener der ordner balance, vridning og vipning af fode er nemlig fastgjort til Fibula-knoglen der er brækked. Det bliver svært at komme op på, og af motorcyklen, og lige så svært at skifte gear!

Jeg plejer at heale hurtigt, men det er kun ni dage til løbet på Anderstorp. Det er for kort tid. Jeg tager alligevel til Bjarne i Nordic Sportscenter i Farum efter et par dage der scanner foden og giver mig ESWT behandling. Det gører ont som fanden, men det speader op healingsprocessen. Hos mig kan det halvere healingstiden, dvs fra seks uger ned til tre uger. Men de ni dage til løbet er stadig for lidt. Lægen synes at det ikke er godt, men jeg vil prøve at skifte min elefantfod ud, stoppe den i en motorcykelstøvle og se om jeg kan køre alligevel. Jeg kunne lade de andre to kørere køre alle de 6 timer, men jeg synes jeg bør prøve at køre et køre-stint alligevel. Ok, det får blive min plan. Måske ikke så smart, men det er hvad jeg brænder for og så må det blive sådan.

Fredag aften før løbet så kommer vores pitchef Søren og hjælper mig at pakke traileren med motorcykel, hjul, køredragt benzindunke og andet udstyr. Vi kører op til Anderstorp fredag aften. Lørdag er der en træningsdag som jeg ikke kan udnytte, men hvor Erik og Peter kan mærke på motorcyklen og chekke indstillinger. Vi får skiftet tandhjul og clipons så at alt passer bedre til løbet dagen efter.

Når jeg kommer forbi toiletterne så ser jeg at løbsledelsen har hørt at jeg kommer, og de har bygget en speciel toilet til mig. :-)

Lørdag eftermiddag når vi også at chekke ind og får godkendt vores motorcykel og udstyr så at alt er klart til løbsdagen.

Og så er der tid at komme i seng og få lidt søvn før løbet den næste dag.

Nu er det søndag morgen og vi skal køre løb! Jeg taper op foden så godt jeg kan og kommer i køredragt og støvler.

Erik, Peter og Søren er også klare. Vi får ordnet vores udstyr i pitboksen, og er klar til kvalifikationskørsler.

Det har regnet det meste af formiddagen og vi har regndæk på motorcyklen. Jeg har kun kørt tre omgange til min kvalifikation. Det gører ont specielt for enden af langsiden hvor jeg skal skifte gear fire gange på meget kort tid. Men så er jeg på tavlen. Erik og Peter har kørt lidt flere omgange. Vores startposition betyder ikke så meget når vi alligevel skal køre i 6 timer.

Efter kvalifikation så skifter vi til nye bremseklodser. De skal holde i 6 timer. Og vi chekker at alt andet er i orden. Det er holdt op med at regne men det er koldt og overskyet så at det vil tage lang tid før banen tørrer, så vi beholder regndækken.

Vi er klare til start.

Starten går kl 11:27 og vores første køre-stint tages af Erik. Det er vådt derude men det ser ud som at Erik hygger sig og kører godt.

Efter 20 minutter så er der nogle der har krashet ud og skal ryddes op så der kommer gul flag og Safety Car. Alle kører i 50 km/h i den periode. Vi sparer bensin i den hastighed. Efter 17 minutter så slippes feltet løs igen til fri fart og Erik kører videre. Han kører godt og ligger på en femte plads lige efter team #45 Hojride. Godt så har vi dem i sigtet. Efter 13 minutter mere så er der nogle andre der har krashet og der er igen gul flag og Safety Car. Efter nogle minutter så er der fri fart igen, og lidt senere så signalerer Erik at tanklampen lyser. Vi vinker ham ind til tankning.

Erik kommer ind. Peter stiller cyklen op på bagstøtten. Erik stiger af cyklen, åbner taklåget og holder brandslukkeren klar. Søren tanker op uden at spilde og risikere straf. Det tager en halv minut. Så kan Peter overtage cyklen og køre ud på banen igen. Totalt knap to minutter for førerskifte og tankning.

Her ser vi fordelen team #45 Hojride har med en større tank på 22-24 liter kontra vores standard tank på 18 liter. De kan køre 20-30 minutter længere før de skal tanke og skal lave færre tankstop i løbet af et 6 timers race.

Peter er ude på banen med vores motorcykel. Det ar stadig meget vand ude på banen, og Peter kører videre med regndækken. Men regnbygerne er stoppet. Der er skyet men det regner ikke og banen er ved at tørre op langsomt. Der kommer også en lille regnbyge en gang i mellem. Vi venter på hvornår Peter synes vi skal skifte til slicks-dæk.

Efter cirka 25 minutter så signalerer Peter at vi skal skifte dæk. Der er blevet et tør spor ude på banen og det er ikke længere effektivt at køre med regndæk. Vi giver signal at vi er klar, og skifter baghjul og forhjul når han kommer ind i pit. Det tager lidt tid, specielt med forhjulet da bremsekalibrene skal skrues af og på. Vi bruger 8 minutter. Det koster omkring 5 omgange. Men ok, de andre teams skal også skifte hjul, og det kan måske koste en omgang mere eller mindre for dem.

Peter kommer ud på nye slicks dæk. Det er stadig lidt vand hist og her på banen men race-sporet er tørt de fleste steder rundt banen.

Team #45 Hojride kommer også ind til tankning og hjulskifte nogle omgange efter os. Det tager selvfølgelig også lidt tid for dem at skifte hjul og tanke. Men det er deres første stop, hvor vi allerede har stoppet to gange. De har så vundet to omgange på det ekstra stop vi lavede, og derfor er de to omgange foran os i øjeblikket. Men løbet er langt og vi fortsætter bare.

At alt kan ske, også for de bedste, viser det sig snart. Team #4 "C4-Racing" som er rigtig dygtige og kører hurtigt med stor erfaring som tit slås om top-tre placeringer, laver en fejl ved deres hjulskifte. Der går noget galt med deres forhjul, og deres kører vælter på vej fra pit-boksen ud på banen. Heldigvis skader han sig ikke særlig meget, men deres motorcykel skal ind til reparation før de kan køre videre.

Det koster dem 24 minutter og omkring 15 omgange så at de ryger ned fra torp tre og lidt længere ned i feltet. Det er ikke umiddelbart så godt for os, fordi både os men også team #45 Hojride avancerer et trin op i stillingen. Men ju længere op vi kommer des større er point forskelen hvis de er foran os. Dvs, det er kun 2 points mellem 4. og 5. plads, med det er 3 points mellem 3. og 4. plads, og det er der vi kommer nu.

Da vi kun fører med 2 points i serietabellen, så vil det være nok for team #45 Hojride at hente de 3 points fra os i dette løb som er det sidste i serien i år. Spændende. Vi må jagte dem og se hvad vi kan gøre de næste 4,5 timer.

Peter kører skide godt der ude. Han får et godt køre-stint med flow i sin kørsel. Der er kun et gult flag under to omgange og ellers er der fri race.

Efter 50 minutter ude på banen så signalerer Peter at tanklampen lyser. Vi bekræfter at vi er klar og han kommer ind til tankning.

Nu er det min tur at køre. Jeg har pakket min venstre fod ud af plastikskinnen og pakket den langsom ind i en motorcykelstøvel. Det er ikke alt for godt, men jeg vil gerne køre lidt i dagens race og ikke kun stå og kikke. Vi er ju racers alle sammen, og vi kan lide at køre. Peter kommer ind, teamet tanker, hjælper mig op på motorcyklen, og jeg tager afsted ud på banen.

Der er kommet en lille regnbyge og det er lidt vådt på banen. Men ikke så slemt at vi skal skifte hjul til regndæk. Jeg kører videre på slicksdækken. Det er fint at det er lidt vådt så kan jeg være lidt forsigtig med gearskifte med venstre fod. Det går fint at køre, og det er kun lidt problemer ved gearskifte. Specielt for enden af langsiden då jeg skal skifte gear fire gange fra højeste gear ned til andet gear ind i den langsomme "Norra" 90-grader svingen. Her synes jeg også jeg er lidt i vejen for de andre kørerne da jeg er ekstra langsom her. Resten af banen er ikke så slemt da jeg kun skifter en eller to gear ad gangen.

Jeg gører så godt jeg kan og prøver at koncentrere mig, speciellt i Hansen-svinget, Depå-svinget og i slutningen på den lange Flygrakan i Norra svingen.

Efter 15-20 minutter mærker jeg at jeg kører ineffektivt og at det ikke bliver bedre. Det virker som Søren kan se det, og han vinker mig ind efter 25 minutter til førerskifte. Jeg er glad at det er overstået og kommer ind. Erik er klar med bagstøtten og jeg tager brandslukker mens Søren tanker.

Erik kommer godt ud på banen. Det tørrer mere og mere op, og Erik kører glimrende. Det ser ud som at han har det sjovt.

Efter 50 minutter så vinker Erik at tanklampen lyser og det er tid til at tanke og skifte fører igen. Det er Peters tur at komme du på banen til den næste køre-stint. Han får en nyt hjul bag med et friskt slicks-dæk og så kan han give den gas derude.

Efter cirka 45 minutter så vinker Peter at det er tid til at tanke og skifte kører. Jeg gider ikke komme ud at køre mere i dag, foden plager mig lidt. Så der er kun Erik og Peter der må skiftes resten af tiden.

Peter kommer ind, holder brandslukkeren mens Søren tanker, og så kan Erik tage afsted ud på banen igen.

Skyerne og regnbygerne er væk og banen er rigtig tør. Erik er ude på banen, men det går ikke lang tid før der en nogle der vælter og der bliver en lang periode på over 20 minutter med gul flag, Safety Car, og langsom kørsel mens der er oprydning og ambulance.

Når det er over så kan Erik give gas igen. Det ser godt ud i det tørre vejr.

Erik lykkes være ude på banen i 63 minutter før tanklampen lyser og han skal komme ind til takning og førerskifte.

Peter kommer ud på det sidste køre-stint. Og han kører den sikkert hjem i mål.

Vi kommer i mål på en 4'e pladsering. Vi gjorde ingen fejl, men desværre så gjorde team #45 Hojride heller ingen fejl i dag. De kommer ind foran os på en 3'e plads og de får lige præcis 3 points mere end os, og overhaler os i serietabellen med en enkelt point. Vi slutter Svenska Endurance Cupen (SEC) 2019 på en samlet 4'e plads. Det er måske heller ikke så dårligt. Det er faktisk ok. Og vi har haft et godt løb i dag.

Tak til teamet. Erik og Peter som kørere, og Søren som pitchef, tankchef og timekeeper. Det var en skidegod sæson der slutter nu.


Hov, helt slut var det ikke....

Stefan fra SEC organisationen fandt lige frem en ekstraordinær pokal fra SEC og Anderstorp Racing Club til ham den sindsyge dansker der kom fra København for at køre årets sidste løb i team #6 "Gammel Dansk Racing Team" med en brækked fod... Der kom store grin fra alle tilstede, og klap på skulderen. Jeg er bara så glad at de andre kørere var ok med at jeg var lidt i vejen for dem derude i slutningen af langsiden når der skal bremses. Men alle var glade. Tak for det. Racers tilhører en særlig familje allesammen. Nu kunne jeg pakke ind foden tilbage i hospitalets specielle plastikskinne og humpe hjem til Danmark igen, og vente på at den gror sammen. :-)

Tak for sæsonen i år, og alle gode race vi har haft sammen: Tak til Søren, Björn, Lars, Erik og Peter.
Jeg håber vi ses igen næste år.